Преміальна стоматологія, що дбає про ваш статус
Бездоганна усмішка — розкіш, яку помітять та оцінять усі. А ми подбаємо, щоб нею ще й захоплювались
Бездоганна усмішка — розкіш, яку помітять та оцінять усі. А ми подбаємо, щоб нею ще й захоплювались

- займається загальною стоматологією: коронки, вініри, лікування карієсу, художня реставрація;
- компетентний у хірургії: видаляє зуби (будь-якої складності), лікування ясен, корекція ясен;
- робить ін'єкції краси: ботокс і контурна пластика губ та всього обличчя
Наш лікар працює комплексно з обличчям. Чудово розуміє, наскільки всім нам хочеться мати красиву усмішку, як важливо дивитися на себе в дзеркало і бачити там свіже, молоде обличчя.

Хірург-ортопед, який закоханий в стоматологію. Видалення зубів, їх лікування, встановлення імпланту, корекція ясен, встановлення коронок чи вінірів - те, в чому професіонал наш лікар.
Має досвід роботи більше 9 років, працював головним лікарем в декількох клініках в Кривому Розі.
Його мета, щоб пацієнти почували себе комфортно під час лікування та усміхались частіше після нього!
Працює за методиками all-on-4 та all-on-6, може повністю відновити функціонування та естетику вашої посмішки
Постійні клієнти King Dental — моделі, блогери, актори, підприємці, які прагнуть справляти ефектне перше враження завдяки своїй посмішці, і тому приїжджають до нас з інших міст та навіть країн






Авторські техніки, професійний підхід лікарів і власна брендована продукція забезпечують ексклюзивний сервіс та комфорт під час кожного прийому.
P. S. Дехто з клієнтів навіть засинає в процесі, тому ковдри й подушки завжди під рукою ;)
Ваша усмішка — це бренд. Ми робимо його впізнаваним.




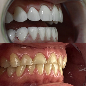
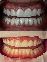
Так виглядають інвестиції у власну впевненість та свободу посміхатись без комплексів




Так виглядають інвестиції у власну впевненість та свободу посміхатись без комплексів

Дякую доктору Марвану та всій вашій команді за те, що я знову посміхаюсь! Я просто не знаю як ви мене витерпіли. Дякую за здійснення мрії!

Хочу щиро подякувати вашій команді! За бездоганну роботу, мою ідеальну і білосніжну посмішку. У мене все добре, нічого не турбує, вже майже звикла. Зубки мають природний і красивий вигляд, не відчуваю дискомфорту - наче так і було. У вас золоті руки - зробили мене ще щасливішою! Я задоволена! Усе було чітко, грамотно і з турботою

Я побачила лікаря в інстаграмі у своєї подруги, додала його, подивилася роботи і мені дуже сподобалося! Я живу в Німеччині і там лікарі не викликають довіри, до них майже неможливо потрапити. А наші лікарі роблять швидко і якісно! Я ходила з композитними вінірами 4 роки і зважилася на керамічні. Я була спокійна, не переживала. Підготовка зайняла 4 години. Не було страху і болю. Я бачила результат у своїх подруг, тому була готова. Тепер посмішка має сліпучий вигляд!
м. Одеса, вул. Дачна, 12 +38 (050) 089 69 13
Чекаємо вас на безкоштовну консультацію кожного дня з 10:00 до 20:00